肝癌是廣西發病率第二、死亡率第一的惡性腫瘤,約65%的肝癌患者在發現時就已是中晚期,失去了手術切除的機會。隨著近年來介入、靶向治療、免疫治療、消融治療等一系列新型治療方案的興起,多種方法的聯合應用,讓部分可以由不可切除的肝癌轉化為可切除的肝癌,部分患者可以獲得長期生存,為中晚期肝癌患者重新點燃了生命之光。
轉化治療:讓“絕癥”迎來轉機
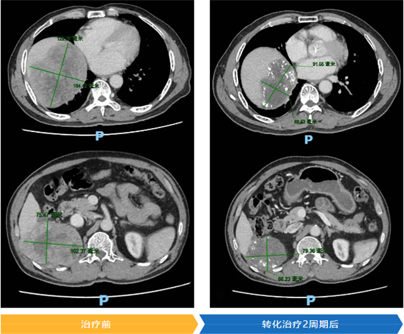
2024年年底,69歲的羅大叔被腰背部的隱痛折磨著,服用止痛藥也毫無效果。外院檢查的結果猶如一道晴天霹靂——右肝上有兩個直徑達10公分的大腫塊?!爱敃r感覺天都塌了,甚至想放棄治療?!绷_大叔回憶起當時的情景,仍心有余悸。好在羅大叔一家沒有放棄希望,來到柳州市人民醫院肝膽胰外科就診。

入院后,肝癌多學科聯合診療專家團隊迅速對羅大叔的病情進行聯合會診。其肝癌病灶最大直徑已達12.2cm,還侵犯了門靜脈右后支、肝右靜脈,左肝體積不足,根據原發性肝癌診療指南,已不適合直接手術。不過,專家團隊發現羅大叔左邊肝臟未受癌細胞侵襲,于是為他量身定制了“靶向+免疫+介入”三聯轉化治療方案。

經過2個周期的治療,羅大叔的腫瘤標志物降低,幾乎接近正常水平;功能性影像檢查肝腫瘤縮小,侵犯靜脈的瘤栓消退,腫瘤活性降低,左肝代償性增生,成功轉化為可手術狀態。2025年3月,醫生順利切除了羅大叔的腫瘤。術后病理回報顯示,肝癌病灶中未見存活腫瘤細胞。在快速康復外科理念的指導下,羅大叔術后1周便順利出院。出院時,醫生還特別叮囑他,要遵照醫院的肝癌全程管理方案,繼續進行后續的綜合治療,以降低腫瘤復發的風險。

遠處轉移也有希望:創造生命奇跡
2024年10月,72歲的韋大叔同樣被病痛所困擾。右上腹部的持續性隱痛一直未緩解,外院檢查發現他肝右葉有占位性病變、膽囊結石膽囊炎,心臟彩超還提示右房內有實質性低回聲團。得知肝臟、心臟里也長了腫物,韋大叔的女兒驚恐萬分,趕忙帶他來到柳州市人民醫院。

入院后,肝臟增強磁共振檢查結果令人揪心:原發性肝癌并肝內轉移灶,右心房、上腔靜脈、肝右靜脈、門靜脈主干等多處受累并癌栓形成。按照肝癌診療指南,此時肝癌已發生遠處轉移,而且右心房癌栓隨時可能脫落,引發肺動脈栓塞甚至猝死,情況危急。由于韋大叔已有遠處轉移,肝功能較差,存在手術和介入治療的禁忌癥,肝癌MDT團隊建議他進行免疫+靶向抗腫瘤治療。

幸運的是,在家人的堅持和悉心照料下,一個月后韋大叔返院復查時,肝腫瘤縮小,靜脈癌栓也有所消退,他自己也感覺身體輕松了許多。截至2025年3月,韋大叔的肝癌標志物基本降至正常,復查CT、磁共振顯示肝腫瘤活性降低,經過調整,肝功能損害也逐漸好轉,精神體力狀態良好,正在醫師指導下堅持治療和復查。這意味著韋大叔不僅有可能實現長時間帶瘤生存,甚至在醫院的肝癌全程管理方案治療下,還有望實現手術切除腫瘤。
走出誤區:肝癌可診可治,早篩早診是關鍵
羅大叔和韋大叔的經歷,是柳州市人民醫院肝癌MDT團隊創造生命奇跡的縮影。然而,不少群眾對肝癌還存在諸多認知誤區。
許多人認為“肝癌必死”,但事實并非如此。早期肝癌的5年生存率超過70%,中晚期患者通過規范綜合治療,也能實現較長時間的帶瘤生存,部分還獲得手術切除的機會。還有人覺得“治療痛苦大”,實際上,微創介入、靶向藥物等治療手段,患者的治療耐受度較高。另外,“篩查沒必要”也是錯誤的觀念,高危人群定期篩查可使肝癌死亡率降低50%以上。
在我國,肝癌高危人群主要包括乙肝或丙肝病毒感染者、過度飲酒者、肝脂肪變性或代謝功能障礙相關性肝病患者、飲食中暴露于黃曲霉毒素B1的人群、肝硬化患者以及有肝癌家族史的人,尤其是年齡大于40歲的男性。對于這些高危人群,建議至少每隔6個月到肝膽胰外科專科進行篩查;普通人群(年齡大于40歲男性以及大于50歲的女性),也應盡量每年進行一次健康體檢。
柳州市人民醫院肝癌MDT團隊堅持開展多學科聯合診療,每周三下午組織多學科專家為患者制定個性化治療方案,以改善生活質量和延長生命為導向,全程跟進每一個患者的診療過程,造福中晚期肝癌患者。