可能您聽說過分期付款,但是您聽說過“分期切肝”嗎?這個還真的有。
近期,柳州市人民醫院肝膽胰外科通過開展“二步肝切除術(ALPPS)”,成功救治2名巨大肝癌患者。
65歲的李阿公因腹痛在柳州市人民醫院消化內科住院,經檢查,被確診為巨大肝癌。經過多學科聯合診療,李阿公轉入綜合外科肝膽病區進一步治療。

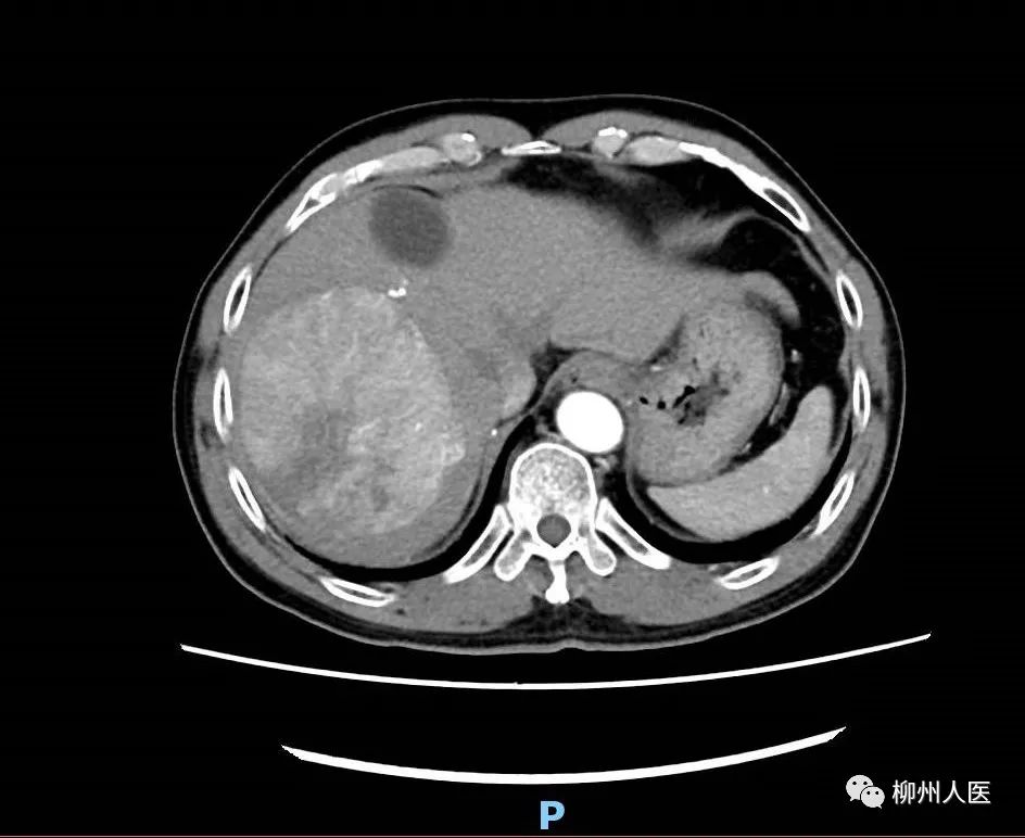
▲第一次手術前
綜合外科肝膽病區團隊組織討論,患者右肝腫瘤巨大,完全切除腫瘤后所剩余的肝臟體積不足標準肝體積的30%,術后極可能出現肝功能衰竭導致死亡。考慮到患者的實際情況,肝癌MDT團隊進行了充分討論。通過數字化影像學肝臟解剖重建、模擬肝切除,計算殘余肝體積和標準肝體積,并對患者進行了全面綜合評估,最終制訂了治療方案——“ALPPS手術(聯合肝臟分割和門靜脈右支結扎的分階段肝切除術)”,簡稱“二步肝切除術”。手術分兩步進行,第一次手術將病側肝臟與正常肝臟分割并對病側肝臟門靜脈支進行結扎,待健側肝臟代償性增大至具備正常所需的肝臟功能后再進行第二次手術,完整切除病側肝臟及腫瘤,讓肝癌患者獲得根治性治療效果。

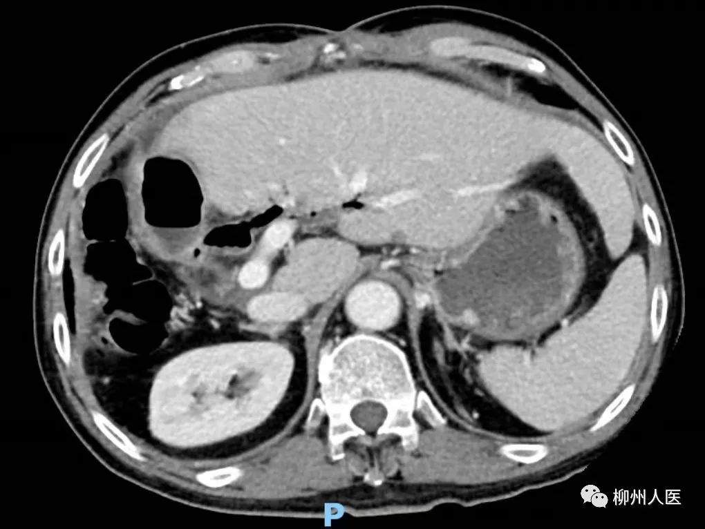
經過精心的術前準備,綜合外科肝膽病區團隊為患者實施ALPPS第一次手術。術中進行門靜脈右支結扎,同時將左右肝分界線肝實質徹底離斷。術后兩周,CT檢查及肝臟三維重建顯示,患者右側肝體積因低血流量而縮小,左肝外葉體積得到一定程度增長,但因患者肝硬化過重,左肝體積增長較慢,未達到二期肝切除標準。再次MDT討論認為患者體積增加較慢,通過右肝腫瘤TACE(肝動脈化療栓塞)治療控制腫瘤進展。

▲第二次手術前
一月后李阿公再次返院治療,經再次評估達到二次肝切除手術的安全標準。綜合外科肝膽病區團隊再次手術,沿著瘤體 “抽絲剝繭”,最終完整切除腫瘤。術后,在快速康復外科(ERAS)理念及措施的支持下,李阿公順利出院。

此外,患有慢性乙肝多年的黃先生日前也因為肝區疼痛來院就診。入院前,黃先生肝區不適,在外院進行肝臟CT檢查顯示,肝臟腫瘤巨大達20cm,伴有肝硬化、脾大、肝門淋巴結腫大、少量腹水。因病情復雜,從外院來到柳州市人民醫院綜合外科移植病區住院治療。

完善相關檢查后,醫生將影像學資料進行數字化解剖重建,模擬肝切除后計算殘肝體積、標準肝體積。經肝癌MDT團隊充分討論,一致認為不具備一次根治性切除條件,可以考慮分期肝切除,并制定了完善的診療方案。醫生先為患者進行抗乙肝病毒治療、調整內環境、糾正低蛋白血癥等,一周后,團隊再次評估發現,患者的肝功能已經從B級好轉為A級,但因切除腫瘤后的殘肝體積不足,存在發生小肝綜合征的風險。將病情與家屬充分溝通后,家屬同意接受分期肝切除方案。
鑒于病人的情況特殊,為了減輕手術創傷,團隊決定采取腹腔鏡微創手術實施一期手術。手術團隊依序實施腹腔鏡下結扎門靜脈右支、離斷肝實質,手術十分順利。兩周后醫生復查肝臟CT并評估肝再生情況,因殘肝體積未達到二期肝切除標準,經過MDT團隊討論,給予介入、藥物等治療。1個月后,患者回到醫院復查,經團隊評估達肝切除條件,再次通過腹腔鏡手術順利切除右肝三葉。術后患者恢復良好,目前已康復出院。
據了解,ALPPS術是肝臟外科領域近年來新興的一項技術和理念,其手術原理是通過調整、改變肝臟血流,減少瘤側肝組織血供,促進健側肝組織快速生長,短時間內快速達到可耐受肝切除的體積,為殘肝體積不足而不可切除的肝癌患者提供了手術治療的更多選擇。雖然優勢明顯,但因適應癥選擇嚴格、患者需要經受2次手術、術后容易出現并發癥等原因,需要治療團隊具有超強的圍手術期管理水平和過硬的肝切除技術。
醫者仁心,精誠大醫。為了最大程度減輕患者手術創傷,近年來柳州市人民醫院采用腹腔鏡微創技術實施分期肝切除,對手術團隊的技術要求更高,對患者創傷更小。隨著肝癌綜合治療措施的不斷進步,醫院還將分步二期肝切除技術與靶向治療、免疫治療、介入治療等聯合應用,讓更多患者獲益。