八載病痛糾纏,一朝重獲新生。近日,柳人醫口腔頜面外科團隊幫助一名右下頜骨成釉細胞瘤復發患者走出疾病陰霾。
通過接受“數字化手術導板+腓骨移植”的個性化手術,患者重獲健康面容與咀嚼功能,現已順利出院。
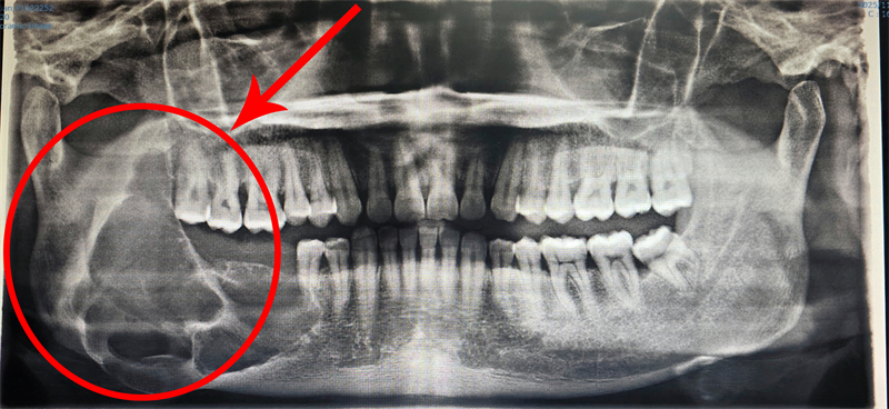
舊疾復發添愁緒 精準施策解難題
8年前在外院接受右下頜骨腫瘤手術的韋先生,病情一直反復,1個月前,他因面部腫脹、咀嚼疼痛難忍再次陷入困境,輾轉來到柳州市人民醫院尋求幫助。
口腔頜面外科陳裕聰副主任醫師接診后,第一時間感受到患者的焦慮與無助,當即安排全面影像學檢查。檢查結果顯示,成釉細胞瘤已然復發,病變范圍大幅擴大,右下頜骨升支遭嚴重破壞,若拖延治療,不僅會導致面部畸形,更會造成不可逆的功能障礙。

深知患者的迫切需求,手術團隊反復研讀影像報告,結合患者身體狀況反復推演,最終量身定制“數字化手術導板+腓骨移植”的個性化治療方案。

匠心施術護安康 溫情協作煥新生
手術當日,手術團隊開啟 “雙線作戰”,用精細操作守護患者希望。

一邊,醫生借助數字化定制手術導板,鎖定病變組織,在保留健康組織、減少創傷的前提下,清除腫瘤病灶;另一邊,另一組醫生在患者小腿截取適配長度的腓骨,經塑形后,與頜骨缺損處契合。
隨后,手術團隊運用顯微外科技術,在高倍顯微鏡下小心翼翼完成血管吻合,確保移植腓骨血供通暢,為患者恢復面容與功能帶去雙重曙光。
悉心照料促康復 重綻笑顏謝恩情
術后康復中,無論是細致的傷口護理、科學的飲食指導,還是耐心的功能訓練,都處處透著關懷;定期隨訪時的親切問候與恢復過程中的及時調整,也讓韋先生感到安心。

在團隊的悉心照料下,移植腓骨成功成活,面部腫脹逐步消退,張口、咀嚼功能穩步恢復。

出院當日,韋先生已能正常進食交流,他感激地說:“八年的病痛折磨,是你們用專業和耐心幫我擺脫了,真的太感謝了!”
此次手術及康復的順利開展,體現了柳人醫口腔頜面外科在高難度頜骨重建領域的綜合實力,也詮釋了“以患者為中心”的醫療溫度。
口腔科醫生提醒,成釉細胞瘤雖為良性,但有局部侵襲性與復發可能。術后定期復查至關重要,建議每3-6個月至少進行一次影像學隨訪。需警惕復發跡象,如手術區域出現新的腫塊、頜骨膨隆、面部不對稱、牙齒松動或下唇麻木等癥狀,應及時就醫。
醫院將繼續以溫情守護健康,為更多患者帶去重生希望。