生活中,很多人飽受牙病折磨,卻對口腔知識知之甚少,甚至對口腔醫生存在不少誤解。今天我們就來聊一聊牙齒及牙齒治療那些事兒。
別等疼到受不了才去看牙醫
牙病和其他疾病最大的不同,就是它完全可以預防。
幾乎每個人一生中都會遇到牙病,而且它的發展是一個緩慢的過程。如果我們自己不重視不預防,等到牙疼得直打轉、牙齒爛了一個大窟窿才來看醫生,到那時,小問題拖成大毛病,治療可就沒這么簡單了。

小提示:定期看醫生,牙病遠離您。半年到一年做一次口腔檢查,定期洗牙,建立正確的刷牙觀念,定期更換牙刷及牙膏,養成早晚刷牙和用牙線的好習慣。
不遵醫囑,不按時就診
一些人在牙痛的急性癥狀緩解后,就好了傷疤忘了疼,不按時復診,再次出現疼痛時才來就診,往往延誤了病情。有的醫生給安排了預約時間不準時,來了就著急,既耽誤了自己的治療,也影響其他患者的就診。
小提示:一定按照醫生給您預約的時間就診,保證治療效果及連續性。如果無法按期治療,盡量事先與醫生咨詢溝通是不是可以選擇其它時間,這樣既是尊重別人也能更好地完成牙病治療。
孩子的乳牙反正要換,不用治療
很多家長認為孩子的乳牙遲早要換,壞了可以不用管它。其實不然!其實孩子的乳牙好壞直接影響恒牙的發育、頜骨發育及全身營養的攝取和消化吸收,所以家長們切不可大意,平時一定要關注孩子的口腔健康!

小提示:大部分孩子都易患蛀牙,家長要多關注,喝奶、飲食后要勤給孩子漱口,早晚科學刷牙。有了蛀牙后,一定要及時帶孩子看口腔醫生,根據醫生建議正確處理牙齒問題。
牙疼,拔掉就行了
有部分患者患了牙病不及時治療,認為牙壞了拔掉就可以了,對于醫生的治療意見不接受,持懷疑和反對意見,但牙病治療并不是這么簡單的,醫生不拔牙的原因可能是:
1.這顆“爛”牙齒不該拔,通過治療完全可以保留。
2.發炎牙痛時不能拔,容易感染,造成不必要的痛苦。




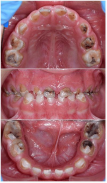
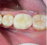
(一顆爛牙的重生之路)
小提示:恒牙一旦拔除就不可再生,就只能靠假牙、烤瓷牙、種植牙等來修復。請您相信醫生提出的專業建議,選擇最適合您的治療方案。
不愿意拍牙片
牙片也叫口腔X線片,它能幫助醫生看到肉眼無法直接觀察到的牙齒、牙周及頜骨內部情況。牙齒好比大樹,樹根扎在土壤里,而我們的牙根也埋在牙槽骨里,牙根的狀態、里面的神經肉眼都是看不到的。只有通過牙片,口腔醫生才可以確切了解齲壞的范圍、牙痛是由牙髓炎還是根尖炎或是牙周炎引起、種植牙需要的骨量等等。

小提示:相信醫生,拍牙片是為了全面評估你的牙齒情況,也可以保留最原始資料,讓醫生準確判斷你的病情,更好的為你治療。
別讓小小的牙病,拖成影響生活質量的大麻煩。從今天開始關注您和家人的牙齒健康吧!我們的牙齒,值得好好被對待。
(以上圖片部分來源于網絡,如有侵權,請聯系刪除)
文稿:潘艷玲
審稿:宋勇 覃沅華
審核:護理部 房惠惠